近期,浙江大学医学院附属第二医院心血管内科潘小宏主任团队应用迈得诺医疗集团自主研发的三款医疗器械(血管内异物圈套器、机械扩张鞘、锁定导丝),上位法和下位法联合成功完成了起搏电极导线拔除术,为一名CRTD电极导线功能障碍的高龄患者解除病痛。这是迈得诺医疗三款产品上市后的首例临床应用。
01
手术信息
患者情况
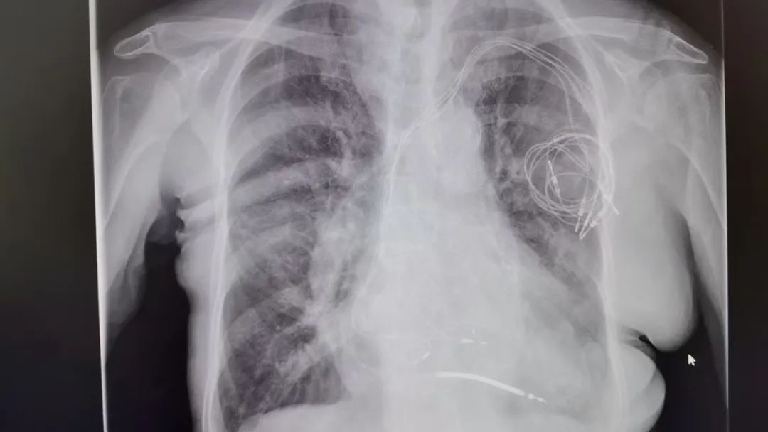
患者,女,81岁。2008年因扩张性心肌病,心功能不全于当地医院行CRTD术;2024年7月,电池提前耗竭,行置换和导线重置术;2025年7月初,发现 CRTD 囊袋溃破,遂住院治疗。住院期间,造影提示左锁骨下静脉闭塞,CRTD囊袋溃破,脓液明显。

起搏器外漏、囊袋溃破状态
入院评估
入院后,潘小宏主任团队对患者的病情进行综合评估后,认为在起搏器外漏、囊袋溃破等多重因素作用下,有必要尽早拔除体内的1根ICD除颤导线和3根实心电极导线,争取以最小的代价避免感染扩散并解除静脉堵塞。

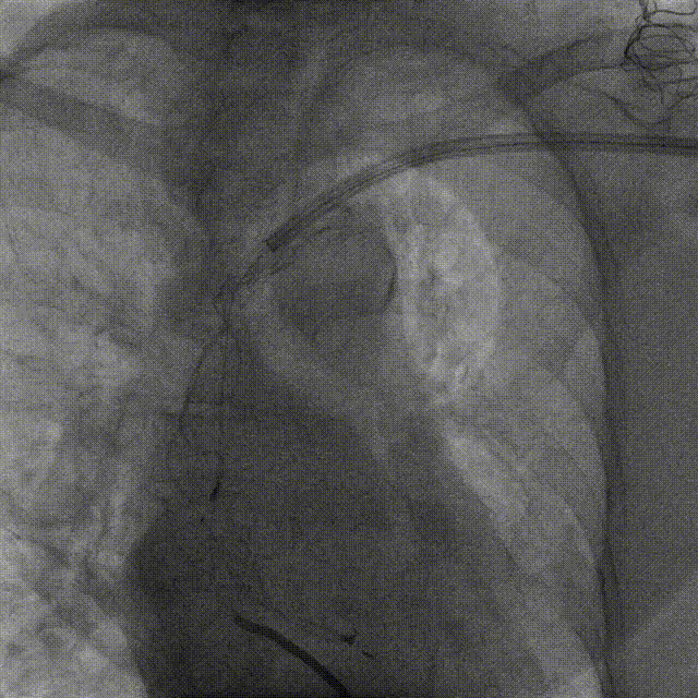
术前电极导线在体内的状态

造影提示锁骨下静脉闭塞
考虑到患者年龄较高,起搏器电极植入时间较长,电极导线和血管壁及心肌组织的粘连程度较重,使用传统的简单工具拔除或徒手拔除,不仅手术难度很大,同时会增加患者的手术风险。
手术方案
经评估,潘小宏主任团队确定使用迈得诺医疗集团自研的机械扩张鞘配合锁定导丝先行拔除颤导线,后用血管内异物圈套器同时抓捕并拔除3根实心电极导线的手术方案。
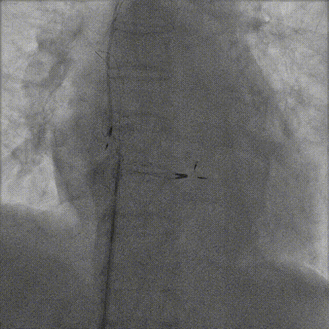
手术步骤及影像
手术中,潘小宏主任团队首先使用锁定导丝锁定除颤导线,随后使用 11F 机械扩张鞘沿除颤导线分离粘连组织,顺利拔除位于右心室除颤电极导线。

机械扩张鞘拔除ICD导线
随后经右股静脉穿刺,使用血管内异物圈套器成功抓捕并拔除3根实心电极导线。术程顺利,患者安返病房。

血管内异物圈套器抓捕电极导线

手术状态
术者评价反馈
手术专家潘小宏主任表示:
机械扩张鞘内鞘管头端倒钝设计,确保切割性高的同时兼顾了安全性。处理锁骨下到上腔静脉整段黏连组织时,鞘管几乎弯到90°进行处理,撤出后鞘管没有打折,韧性好。
血管内异物圈套器的镍钛环显影效果佳,适配性高。
术者经验分享
手术专家潘小宏主任表示:
机械扩张鞘对于黏连严重的情况,分离效果更佳。如多根导线缠结在一块,可以先经上腔静脉(上位法)剥离导线并进行拔除,困难者再经下腔静脉(下位法)抓捕移除残余导线。
迈得诺医疗集团自主研发的三款器械(血管内异物圈套器、机械扩张鞘、锁定导丝)配合使用,可解决各种导线拔除复杂病例,将有力推进电极导线拔除术在临床的广泛应用,使更多的CIED感染患者得到更及时的治疗,提高患者生活质量。
02
专家介绍


专/家/介/绍

曾多次到国外进修,临床经验丰富,参与多项大型临床试验研究,擅长起搏器植入术、起搏电生理和起搏导线拔除,对心肌炎包括心脏淀粉样变和法布雷心肌病等疑难罕见心肌病颇多造诣,擅长心力衰竭、Brugada 综合征等遗传性心律失常综合征、肿瘤心脏病和高血压的诊治。
03
血管内异物圈套器&机械扩张鞘&锁定导丝
血管内异物圈套器
国械注准
20243032581
「SnareMan®血管内异物圈套器」可用于经皮回收心脏电极导线,有效解决临床难题,使患者获益。


机械扩张鞘
国械注准
20253120275
「机械扩张鞘」适用于需要经静脉去除电极导线周围黏连组织的患者,以帮助移除心脏电极导线。


锁定导丝
国械注准
20253120247
「锁定导丝」与中空电极导线锁紧固定后,可直接拔除电极导线,或与机械扩张鞘配合使用拔除电极导线。

